Crowns/Caps & Bridges

A crown (or cap) is a covering that encases the entire tooth surface restoring it to its original shape and size. A crown protects and strengthens tooth structure that cannot be restored with fillings or other types of restorations.
Although there are several types of crowns, porcelain (tooth colored crown) are the most popular, because they resemble your natural teeth. They are highly durable and will last many years, but like most dental restorations, they may eventually need to be replaced. Porcelain crowns are made to match the shape, size, and color or your teeth giving you a natural, long-lasting beautiful smile.
Reasons for crowns:
- Broken or fractured teeth.
- Cosmetic enhancement.
- Decayed teeth.
- Fractured fillings.
- Large fillings.
- Tooth has a root canal.
What does getting a crown involve?
A crown procedure usually requires two appointments. Your first appointment will include taking several highly accurate molds (or impressions) that will be used to create your custom crown. A dental laboratory will also use a mold to create a temporary crown that will stay on your tooth for approximately two weeks until your new crown is fabricated.
While the tooth is numb, the dentist will prepare the tooth by removing any decay and shaping the surface to properly fit the crown. Once these details are accomplished, your temporary crown will be placed with temporary cement and your bite will be checked to ensure you are biting properly.
At your second appointment your temporary crown will be removed, the tooth will be cleaned, and your new crown will be carefully placed to ensure the spacing and bite are accurate.
You will be given care instructions and encouraged to have regular dental visits to check your new crown.

Temporaries Made Prior To The Treatment Visit

CAD Cam Milled Zirconia Crowns For Best Precision Fit

CAD Cam Milled Zirconia Lower Crowns

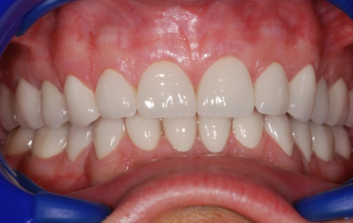
Full Mouth Reconstruction With All Porcelain Zirconia Crowns CAD Cam Milled

Loss Of Vertical Dimension Due To Wear Of Teeth

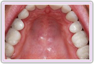
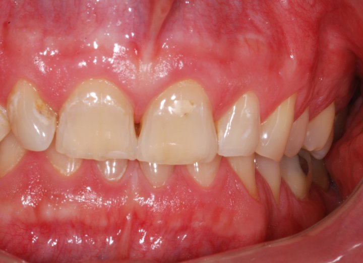
Upper Before

Upper Crowns After Delivery

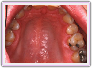
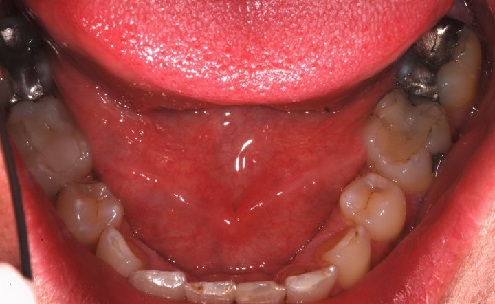
Lower Before

Lower Crowns After Delivery

Visit 1 Diagnostic Picture

Visit Three Porcelain Crowns Seated

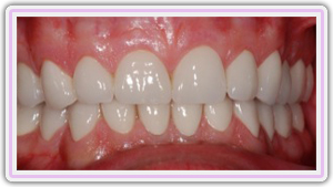
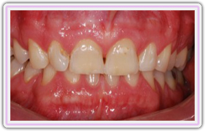
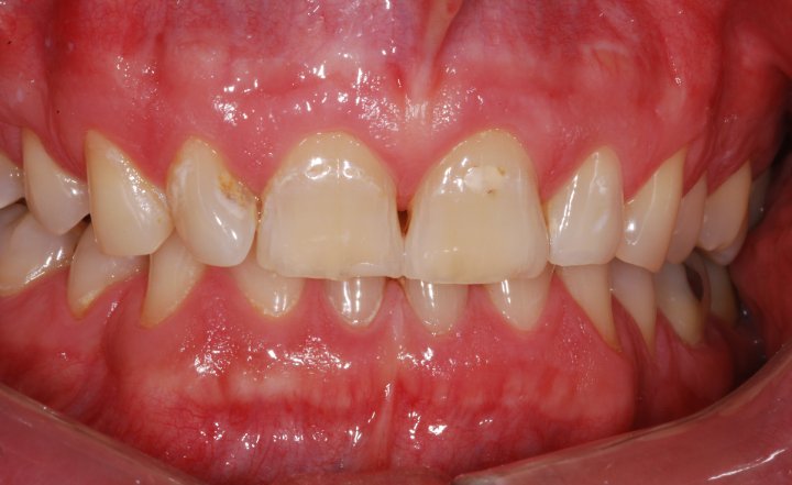
Visit One Smile

Smile After Treatment
Bridges
A dental bridge is a fixed (non-removable) appliance and is an excellent way to replace missing teeth.
There are several types of bridges. You and your dentist will discuss the best options for your particular case. The “traditional bridge” is the most popular type and is usually made of porcelain fused to metal. Porcelain fixed bridges are most popular because they resemble your natural teeth. This type of bridge consists to two crowns that go over two anchoring teeth (abutment teeth) and are attached to pontics (artificial teeth), filling the gap created by one or more missing teeth.
Dental bridges are highly durable and will last many years, however they may need replacement or need to be re-cemented due to normal wear.
Reasons for a fixed bridge:
- Fill space of missing teeth.
- Maintain facial shape.
- Prevent remaining teeth from drifting out of position.
- Restore chewing and speaking ability.
- Restore your smile.
- Upgrade from a removable partial denture to a permanent dental appliance.
What does getting a fixed bridge involve?
Getting a bridge usually requires two or more visits. While the teeth are numb, the two anchoring teeth are prepared by removing a portion of enamel to allow for a crown. Next, a highly accurate impression (mold) is made which will be sent to a dental laboratory where the bridge will be fabricated. In addition, a temporary bridge will be made and worn for several weeks until your next appointment.
At the second visit, you permanent bridge will be carefully checked, adjusted, and cemented to achieve a proper fit. Occasionally your dentist may only temporarily cement the bridge, allowing your teeth and tissue time to get used to the new bridge. The new bridge will be permanently cemented at a later time.
You will receive care instructions at the conclusion of your treatment. Proper brushing, flossing and regular dental visits will aid in the life of your new permanent bridge.
