Dental Implants

A dental implant is an artificial tooth root used in dentistry to support restorations that resemble a tooth or group of teeth.
Virtually all dental implants placed today are root-form endosseous implants. In other words, virtually all dental implants placed in the 21st century appear similar to an actual tooth root (and thus possess a "root-form") and are placed within the bone (end- being the Greek prefix for "in" and osseous referring to "bone").
Prior to the advent of root-form endosseous implants, most implants were either blade endosseous implants, in that the shape of the metal piece placed within the bone resembled a flat blade, or subperiosteal implants, in which a framework was constructed to lie upon and was attached with screws to the exposed bone of the jaws.
Dental implants can be used to support a number of dental prostheses, including crowns, implant-supported bridges or dentures.
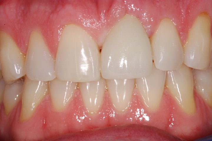
Dental Implant Photo Gallery (click to enlarge)

3d Positioning Of The Implant On The Lower Jaw

Guided Surgery Planning

CT Scan Imaging

Computer Guided Implant Planning

CT Planning For Upper Jaw Implant

Pre-op X-Ray Showing The Fracture

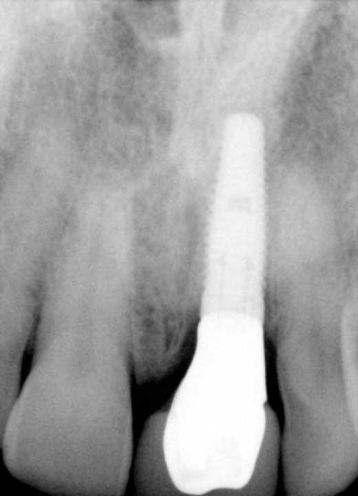
X-Ray Showing The Custom Abutment In Place

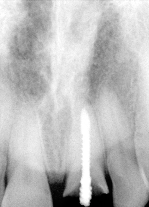
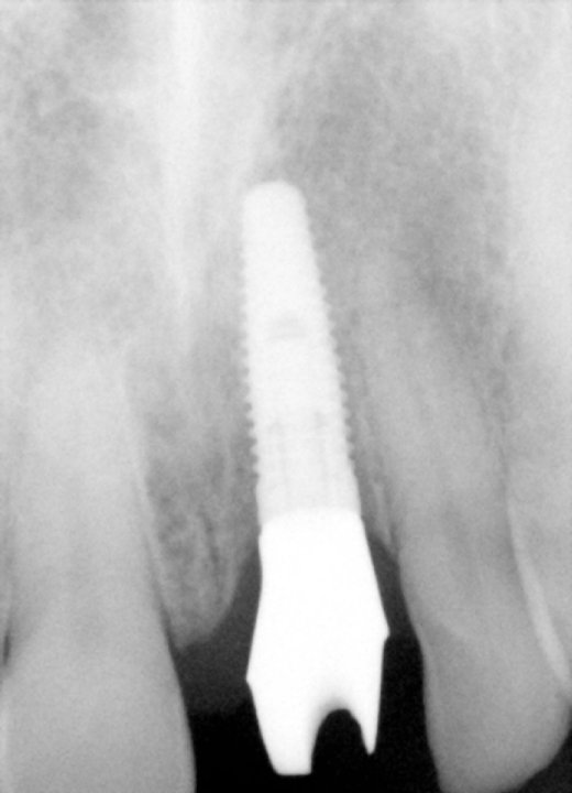
Final X-Ray Showing Implant

Fastest Machine In Taking 19 Second Scan

Prexion 3D CT Scanner

512 Slices Scanner For Accuracy And Better Diagnosis

Before, During, and After

Dr. S And Patient

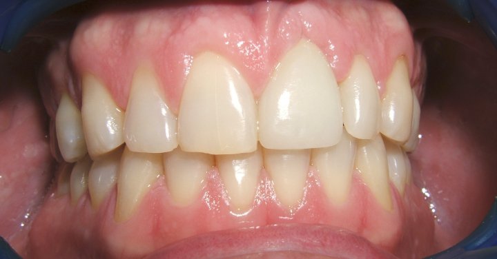
Final

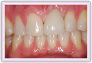
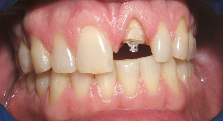
Fractured Tooth

Healing Screw On The Impant

Immediate Implant Placement

Impression Of The Implant

One Year Post Op Healing Picture

Procera Full Porcelain Crown In The Implant

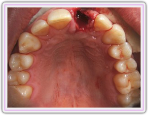
Removal Of Tooth

Six Months Post Op Healing Picture
