Invisalign

Invisalign is a series of clear, removable teeth aligners that both orthodontists and dentists use as an alternative to traditional metal dental braces.
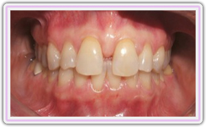
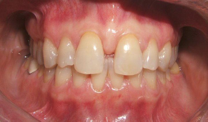
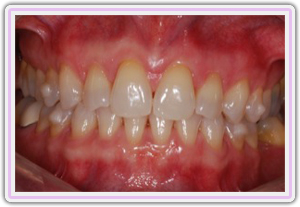
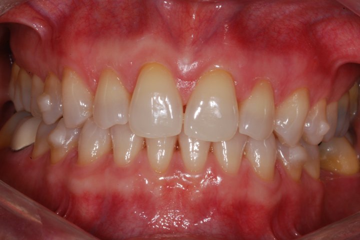
Treatment
An orthodontist begins by taking dental impressions, x-rays and photographs of the patient's teeth and sending them to Align Technology. The impressions are put through a CT scan from which a computer creates a three-dimensional model. Technicians then individualize the teeth in the computer model and move them to their final position as prescribed by the orthodontist. Custom software then simulates the movement of the teeth in stages. The orthodontist reviews the simulation online using Align Technology's ClinCheck via a web browser and approves or modifies the treatment. Once approved, a plastic resin aligner is manufactured for each stage of the computer simulation and shipped to the orthodontist.
'Attachments' are sometimes bonded to teeth that need to be "rotated" or moved more than other teeth. Patients can expect as many as thirteen attachments. They are tooth-colored and made of a glass-like substance.
'Reproximation' is a process by which the contacts between teeth are filed down to allow for a better fit. This may also be a part of treatment.
Average treatment time is about one year,[4] again depending on the complexity of the treatment. Simple treatments (minor crowding, minor spacing) may be as short as twenty weeks—this is known as the "Invisalign Express" program. Although the aligners are removable, they must be worn at least 20 to 22 hours per day to avoid delaying the treatment process. If they are not worn consistently, treatment time will increase.
After the regular aligner or braces treatment is complete, retainers composed of a similar plastic material are usually required to be worn, at least at night.
Like other orthodontic systems, the patient has some flexibility. The final position of the teeth is not completely determined by the last aligner. If the patient wants to change the end position because the actual position is not optimal, new aligners are ordered, which are usually included in the originally quoted cost, called a 'Refinement'.
